Quantcast
©Lund University

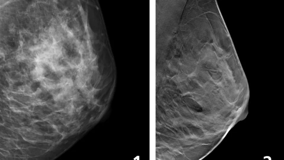
Fewer Breast Cancer Cases Between Screening Rounds With 3D-Mammography

3D-mammography reduces the number of breast cancer cases diagnosed in the period between routine screenings, when compared with traditional mammography, according to a large study from Lund University in Sweden.


Kristin Johnson
Jul 16, 2023

The results are published in the journal Radiology.

“Our results indicate that 3D-mammography, or digital breast tomosynthesis, possibly detects cancers that would otherwise have been diagnosed later at a more advanced stage”, says Kristin Johnson, doctoral student at Lund University and radiology resident at Skåne University Hospital.

A large prospective screening study conducted at Skåne University Hospital in Malmö (Malmö Breast Tomosynthesis Screening Trial) between 2010 and 2015 included almost 15,000 women who received both 3D-mammography and traditional mammography. In 2018, the researchers published results from the trial showing that 3D-mammography detects just over 30 percent more cases of breast cancer compared to traditional mammography.

This time, the researchers compared cancers detected in between screenings, so called interval cancers. The women who received 3D-mammography were matched by age and screening date with women in a control group who were screened using regular mammography. A total of 13,369 women were included in the study and 26,738 women in the control population.

The number of interval cancer cases can be used to assess a screening method's effectiveness in detecting cancer and potential to reduce breast cancer mortality in the long run, and is one of the most important outcome measures to take into account in discussions about possibly switching to 3D-mammography as a screening method. The researchers also compared the types of breast cancer involved as well as the extent of the spread of cancer in the patients.

“Among the study participants who received 3D-mammography, we found that it was less likely, 40 percent lower odds, to get interval cancer compared to the control group that was screened with regular mammography. Interval cancer cases generally have a relatively aggressive biological profile with faster growing tumors than in screening-detected breast cancer. However, the study did not show any major differences between the groups regarding the biological profile, says Kristin Johnson.

Kristin Johnson clarifies that the women who were screened with both 3D-mammography and 2D-mammography thus received two radiological assessments, in contrast to the control group. This may have had some effect on the fewer number of cases of interval cancer in the study group.

Several European studies have shown that 3D-mammography detects more cases of breast cancer, although the scientific basis for using 3D-mammography in screening is considered weak due to lack of information on effects on interval cancer rates. Therefore, today's overall European guidelines are still vague. In addition, the guidelines for screening programs differ between countries within as well as outside Europe.

The researchers believe that their results, which so far are the only ones published that show a reduced interval cancer rate, further support that 3D-mammography can supplement or replace mammography in screening. In the long run, they can also help strengthen the European recommendations.

“Screening with 3D-mammography shows potential in reducing interval cancers. However, we need to see more studies pointing in the same direction”, concludes Kristin Johnson.

Publication: Johnson, Kristin, et al. Interval Breast Cancer Rates and Tumor Characteristics in the Prospective Population-based Malmö Breast Tomosynthesis Screening Trial. Radiology, (2023). DOI: 10.1148/radiol.2021204106 

Original Story Source: Lund University


RECOMMENDED